Foot-Screw-Loose

June 7, 2009

If I’d known it was going to make Deborah so happy, I would've had a motorcycle accident a long time ago. But of course, it wasn't the accident itself that made her happy, but the fact that it left me with a cracked foot rather than a cracked skull.

She cried when she first arrived at the emergency room where I lay patiently waiting to be x-rayed. But the tears soon gave way to giddy laughter as she thought about how much worse it could've been.

In fact, when Deborah first learned I'd been involved in an accident, she was walking alongside living evidence of how things could've been worse. She was with Molly, a girl she knows from work, who had been in a major accident over a year ago, which left her with dozens of broken bones, braces on her teeth, and chemical burns on her body. At the time of the accident, Molly had simply been walking along the sidewalk when a fire truck collided with a van and then careened onto the sidewalk and hit her. She's still messed up, still goes to physical therapy, but, again, things could've been worse. That is, she’s not so messed up that she can’t perform with a comedy improv troupe. She and Deborah were just leaving one of Molly’s performances when Deborah called to ask if I wanted to meet them in Manhattan.

"I had a motorcycle accident," I said. "I'm in an ambulance, heading to the hospital to get checked out."

"What?"

"I'm okay, I'm okay. I just need to get checked out."

"What hospital are you going to? Where is it?"

"Brooklyn Hospital Center," I asaid, and gave her the address.

"I'm heading there right now."

At this point, I suppose it's best not to "discuss the details of the accident," so let's start from the point where I found myself dazed and nauseous, lying in the middle of an intersection in Williamsburg, Brooklyn, with gasoline trickling from the gas tank, listening to the put-put-put of the engine as it wound down, stuttered, and quit.

"Stay down," I heard a woman's voice call to me from the sidelines. I could sense a crowd gathering on the sidewalks. "Don't try to get up."

At that point, I really couldn't have stood up anyway. I collapsed back onto the pavement, rolled over on my back, and muttered. "Fuck. Goddammit, Motherfucker." and assorted variations on that theme.

A minute later, the woman was hovering over me, asking me questions, trying to figure out how bad I was. It turned out she was a Physician's Assistant who just happened to be walking her dog nearby.

"Did you see that bullshit?" I asked. "Fuck, I'm gonna puke."

I thought for sure I would, but I only coughed and gagged a little. The woman disappeared for a moment and returned with a cup of water and some cool, wet washcloths from who knows where.

Soon she was joined by a Fire Department EMT who also just happened to be driving his emergency vehicle a few cars behind me when the accident occurred. The two of them reassured me, took my blood pressure, and gave me some oxygen. I wasn't sure why, but I didn't care because it seemed to help. My blood pressure settled, and my head began to clear. "Do you think you can walk? Can we get you over to the curb and off the street?"

They helped me hobble to the curb. I glanced at my poor bike, which someone had put upright, its front end bent and mangled.

A guy cruised up on his bicycle and asked me if I wanted him to call someone about the bike. "Yeah," I said, pulling the oxygen mask from my face, "that would be great."

The accident occurred about a half mile away from the garage where I park it, and the guy just happened to have the garage’s number stored in his phone.

An ambulance arrived on the scene, and two women EMTs sauntered out.

"Look at this neighborhood," the taller of the two women said, pulling at her waistband, marveling at all the hipsters milling about on the sidewalk. "What a difference a few blocks makes."

"Welcome to the north side," the FDNY EMT said.

The FDNY EMT was briefing the ambulance EMTs when a cop cruiser pulled up. One of them said, "The cops are here," and they all groaned a little.

The shorter of the two ambulance EMTs pulled out a clipboard and began asking me questions. The other one interrupted.

"Why don’t you come sit in the ambulance?" she said.

Again, with help, I hobbled across the street. The things that hurt initially began to feel better, and the things that didn't hurt at all began to ache and throb. They wanted me to go to the hospital, but I was honestly thinking I'd be able to walk away.

"You got shaken up pretty good. It's better to get checked out. Once the adrenaline wears off, trust me, you're gonna hurt. Who knows where? It might not be where you think you're gonna hurt, but you're gonna hurt someplace. Besides, hospitals are the ones with the good meds.”

"I gotta be honest with you," I said, "I'm not a big fan of the good meds."

"Trust me. In a few hours, you're going to be looking for something. Trust me."

They both told me a bunch of stories about various accidents they’d seen, describing the way people react when they're victims of one.

"Okay,” I said. “You guys are the professionals."

We waited for the cops to take down my license, registration, and insurance information before we left. I sat and talked to the EMTs while watching from the back of the ambulance as my bike got hauled away.

"At least your bike is okay," said the taller woman.

"Ack. No, it's not. Look at it!"

"It's not supposed to look like that?" she said. "I don't know anything about motorcycles."

"It’s vintage. All original — was all original, anyway. It's going to be a bitch just finding the right parts."

"How long have you had it?"

"A few years."

"Forty years? "

"No, no. A few."

"Oh. And what, you fell in love with it or something?"

"Yeah, something like that."


June 10, 2009

I felt like a puppy that had been alone all day waiting for its master to come home from work and take it outside for a walk. Although in this case, when Deborah got home from a day of running errands, she didn't exactly take me for a walk as much as she escorted me on a hobble. But still.

"Want to go to the roof?" she asked.

"Yes!"

I swear I felt my tail wag.

I’d thought about going to the roof by myself earlier in the afternoon, but wasn't too keen on tackling a set of stairs without someone to spot me.

Out of breath but steady on the landing, Deborah opened the door, and I swung myself over the threshold into the open air. It felt so good to be outside that, if I hadn't been on crutches, I might've run around in circles, pissing on everything in sight.

Deborah asked me about my day, but there wasn't much to tell her.

"I almost fell a couple of times," I said. "That was exciting. Oh, and I took a nap with the cats."

"Did you make an appointment to see the doctor?"

"Not yet."

I had been scheduled a post-ER follow-up appointment with a foot specialist two days ago, but, although the appointment was in the same hospital that had treated me so well after the accident, the clinic there wasn’t nearly as accommodating.

On the day of the scheduled appointment, Deborah and I had called a car and we rode to the hospital's main entrance. I told the receptionist that I had an appointment with a foot specialist and handed her my emergency room release papers, which had my appointment information. She took it and stared at it silently with a look of utter confusion, then looked at me, balancing against the reception counter, and said, "Umm. Let me figure out what's going on here."

Not exactly what I was expecting to hear.

She made a phone call, handed me back my papers, and told me to go outside, around the building, follow along the black railing, up a ramp, to another door. "Okay," I said, then took a deep breath and plodded away.

There was no sign on the door at the top of the ramp; it was just a metal door with a metal doorknob and looked like a janitor's entrance. Just inside the door was a small vestibule with a couple of vending machines, and through the second door was what looked like a bank of window counters at a post office with a rather large waiting area off to the side. I saw a paper sign taped to a column that said, "For clinic appointments, wait behind the black line for window number 3."

There were five separate windows with a black line painted on the ground in front of them. I stood behind the black line and waited, feeling like I was about to bet on a horse. Looking around behind me, I noticed about twenty people lined up against the wall.

"Are you all waiting to sign in?" I asked.

They all shook their heads — some shaking yes, and some shaking back and forth in disgust as if to say, whaddaya think, asshole.

Deborah and I found the back of the line, and as we stood there, a woman came up and asked me why I was there. I explained I had a follow-up appointment for my broken foot.

"Let me find out about that," she said, then walked away and never came back.

Another woman came by and handed me a clipboard. "First time here?" she said. "Fill this out.”

I asked Deborah to stand in line for me while I sat down in one of about twenty-five dingy chairs and filled out the questionnaire. "What kind of food do you eat?" "Has your spouse ever hit you?" "Do you want to see a mental health professional?" By the time I finished filling out the form, Deborah was at the front of the line. I stood up and joined her until we were called.

I handed my emergency room paperwork to the woman behind the counter, and again, she just stared at it silently. I wasn’t sure if I could expect my health insurance to cover a motor vehicle accident, and my motorcycle insurance carries no personal injury protection, so I wasn’t sure the protocol. I'm hoping the cowboy who ran the stop sign will eventually be responsible, but since I didn’t have any of his insurance info, and won't have it until the police report is ready, I gave the woman my own insurance cards. Everyone else in the clinic was holding a stack of wrinkled Medicaid forms, and my futuristic insurance card threw the woman for a loop. "What is this?" she said, and put on her glasses, which had been hanging around her neck with a gold chain.

I explained, again:

"I was in a motorcycle accident over the weekend," I said. "I broke my foot. Before I was released, the E.R. doctor made an appointment for me to see a specialist here."

She stared at my insurance card like an artifact from outer space. "Wait a minute," she said, then walked away and reappeared from behind a door.

"Is she with you?" she said, nodding towards Deborah.

"Yes, she's my wife."

"Okay, you sit down there, and you,” she said, pointing to Deborah, “you follow me."

Deborah followed the woman down a hall and into an office.

I felt a few dozen eyes follow me as I crutched my way through the waiting area and took a seat next to a mentally challenged kid. "Crutches, crutches, crutches, crutches," he said over and over, while bobbing back and forth.

Ten minutes later, Deborah came out and said there was a problem.

Of course, there was.

I needed to make a phone call to try and work things out, but there was no reception in the waiting room. Deborah helped me into the vestibule, where I was able to sit on a radiator in front of some vending machines and make a call.

A guy in a black nylon do-rag with its free ends hanging all the way to the ground came in and put some money into the candy machine. The waistband of his black stone-washed stenciled jeans was low around his hips, and when he bent down to get his candy, his pants slipped to his thighs, revealing his polka-dot boxer shorts, in their entirety. With a bag of Skittles in one hand and his waistband in the other, he stood up and yanked his pants just high enough for them to stay unassisted for another minute or two.

"This is a fucking hospital," said Deborah. "I can't believe they put candy and soda machines in the waiting room. Ridiculous. Half the people in the waiting room are overweight, probably have diabetes, heart disease, high blood pressure—"

" Half? " I said.

"Okay, all."

"Well, how do you expect the clinic to make any money if they don't feed the monster?"

After an hour of back and forth, unable to sort out my insurance situation, I gave up. "Let's get the fuck out of here."

"What about your foot?"

"I'll figure it out. But not today. I can't wait here anymore."

"Okay," she said, but you have to see a doctor soon."

And we left.

Our apartment building overlooks the BQE, which sounds dismal, but I actually enjoy sitting and watching the traffic. That evening, up on the roof, sipping whiskey from a water bottle, a motorcycle whizzed past a line of congested cars.

Deborah and I looked at each other.

"Are you going to be afraid to ride again?" Deborah asked.

"No."

She looked disappointed.

"Ready to go back downstairs?" she said.

"Yeah. Will you help me take a shower?"

"You want to take a shower?"

"Yes."

"Okay."

Life could be worse.


June 13, 2009

The first woman looked at me like I was the scum of the earth and turned away in disgust without saying a word. She was dressed head to toe in black, with a big black wig on her head like one of the Supremes. She was probably in her sixties, trying to hang on to a look that worked for her when she was still in high school. She didn't seem to be doing anything; she wasn't on the phone, wasn't writing anything down, wasn't even pretending to be busy; she just didn't like the cut of my jib and ignored me.

I balanced on my crutches and patiently waited for a second woman to acknowledge me. She took her time, shuffling papers around before finally looking up.

"Hi," I said. "I'm here to pick up some X-rays."

"In the basement," she said. "But you gotta pay first. Ten dollars. Go see the cashier."

"Okay," I said, "Where do I find the cashier?"

The directions were a little confusing, involving an elevator, a set of stairs, and several turns.

"You got that?" I said to Deborah.

"I think so."

When we got in the elevator, three of the buttons were missing their numbers, including the floor we needed to find: 1R. The buttons that were there had names like BF and G, which made a guessing game out of figuring out which button to push. I pushed them all, hoping that when the doors opened on 1R, we would somehow know.

We followed the signs for the cashier's office and finally found the dingy room. A woman sat at a metal desk next to a stack of file cabinets. I told her I needed to pay for some X-rays, and without a word, she pointed over her shoulder at what looked like a train ticket window. I showed my ID, gave a younger woman behind the plexiglass a twenty, got my change and a receipt, then asked where to go next.

Again, the directions were confusing, and we accidentally found ourselves on a service elevator that took us to the bowels of the hospital. We told a janitor that we were looking for the File Department, and he told us, "I have no idea." But he led us to a security office where a security guard gave us some more confusing directions. "All the way down the end of this hallway, down the stairs, see where that gurney just turned? There's a sign down there. Follow the arrows."

At the end of the hallway, at the bottom of the stairs, we found the sign and followed the arrow to another sign, down what felt like miles of hallway. We passed the ER room where I was taken after the accident, and ran into the physician who made my splint. "Hey! How are you doing?" he said.

"Pretty good, just here to pick up some X-rays."

We walked further, following signs, until we finally reached a door that said, Authorized Personnel Only. "We're authorized," said Deborah. She pushed open the door and held it for me.

We walked past several dark rooms with half-open doors where doctors reclined in rolling office chairs, sat behind folding card tables with computer monitors balanced on them. The doctors were scrolling through a variety of X-rays. On one screen, I saw an X-ray of some lungs, on the next, I saw someone's skull, then a broken arm.

Finally, the File Department — a half-empty windowless cavern. On one side of the room were tape marks on the floor where several rows of shelves used to be. Closer to the front was a single brown metal file cabinet. The other side of the room was nothing but exposed pipes and a cracked cement floor. Empty. I wouldn't have been surprised to see a rat, and it was hard not to imagine someone hanging blindfolded from the pipes with a car battery attached to their nipples. I was out of breath and my arms were burning from the long walk on crutches, but I hesitated to sit down for fear of being shackled to the chair and interrogated.

"I hear you, I hear you. I'm coming."

We hadn't said a word, but the extra-large woman who ambled out from behind the shelves must've heard my crutches. "I'm coming," she said again.

"What happened to all of your files?" Deborah asked, pointing at the empty shelves.

"Storage," she said, then "How can I help you?" She sat down at the metal desk and hit a couple of keys on her antique-looking computer keyboard to wake it up.

I told her I was there to pick up copies of my X-rays and handed her my receipt. I was expecting her to walk to the shelves and pull down a big manila envelope with film in it, but instead she simply burned me a CD. It was surprisingly high-tech. Like a futuristic post-apocalyptic Sci-Fi movie where the world is half fallen apart, but a Revolutionary dressed in rags, with a headband and a tool belt, manages to keep the computers working with the slim hope that humanity might survive.

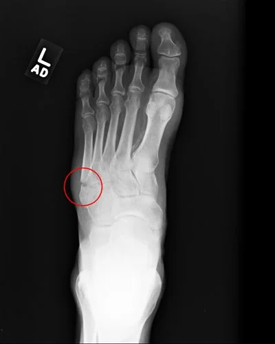
Along with the X-rays, I was given a report. "A transverse fracture of the fifth metatarsal." A small bone, but after doing some research online, I'm a little apprehensive about it. When the doctor who released me from the ER said I might need surgery, I really didn't pay much attention to her. But now I'm not so sure. We'll see. I finally have an appointment with an orthopedic foot specialist on Monday.

Still waiting for the Accident Report.


June 15, 2009

"So, what's the problem?" said the orthopedic foot specialist when he breezed into the room.

"I broke my foot," I said.

"And how do you know it's broken?"

"I have X-rays from the emergency room," I said, and handed him the CD of X-rays I got from the hospital last week.

"What happened?"

"A motorcycle accident."

"Must be the season," he said. "You're the second motorcycle accident I've had in a week. What happened? How'd your foot get broken?"

"I'm not sure, exactly. I didn't even realize it was broken until I tried to walk. But I'm a little concerned. I did some research online just to see what they said about this kind of break—"

"And what did they say?"

"They said there was a high incidence of non-union."

"Depends, depends on the break. Let's take some pictures and see what's going on."

I hadn't noticed, but I was sitting next to an X-ray machine — a relatively small one, like a dentist might have, little more than a hairdryer attached to a couple of computer monitors.

"Why don't you take that off?" he said, pointing to the splint on my foot. "It'll hurt less if you do it." I'm not sure if he really felt that way, or if he just didn't want to touch the filthy ace bandages that were holding it on. I'd been wearing it for over a week and it was starting to look grungy and pathetic. I unwrapped the bandages and eased off the splint, which he immediately tossed into the garbage.

He put my foot on a lead dinner plate and zapped me with the hair dryer. The X-rays appeared on the computer screen instantly, all digital, nothing to be developed. "Yup," he said. "There it is." With each new angle, he pointed out the "significant amount of displacement" and said it needed to be reset and screwed in place with a cannulated titanium screw. "It doesn't make any sense to wait, it's not going to heal the way it is."

"That's what I was afraid of."

"What are you doing Friday?" he said.

"Getting a screw in my foot, I guess."


June 18, 2009

"Five forty-five!" Deborah yelped into the phone. She couldn't believe it.

"Don't worry, you don't have to come with me," I said. "I can get there by myself."

Because I'm a type 1 diabetic, my surgery is scheduled for the crack of dawn to cause the least amount of disruption to my insulin regimen. I knew the routine because I just went through it last year with my hand surgery. The surgery is taking place at St. Vincent's in Manhattan. When my appointment with a foot specialist at the hospital in Brooklyn fell through because of an insurance foul-up, I called my primary care physician for a referral, and he sent me to one of his cronies at St. Vincent's. Other than taking a little longer to get there, it didn't really matter to me where my appointment was since I have to take a car service either way, but now that I have to be there at 5:45, I'm starting to wish I could've worked it out in Brooklyn. Deborah is, too.

"You don't have to take me there," I told her. "You just have to pick me up. The hospital won't let me leave by myself."

"I won't let you leave by yourself, either. And I won't let you go by yourself. Of course I'm going with you. But five forty-five— Jeeze ." She took a breath. "I can do it."

"We'll see. You might change your tune in the morning. Besides, I'm not sure they'll even let you up with me."

The surgery is going to put me back to square one in terms of healing. In fact, it'll probably hurt more than the break itself. I mean, they're cutting open my foot, resetting the bone, and fixing it with a screw. Afterwards, I'll be spending a few days in bed, all hopped up on goofballs, with my foot iced and elevated, having flashbacks to the day of the accident.

I'd be lying if I said I wasn't a little apprehensive, but since I went through a similar routine last year with my hand, I'm a little more relaxed about it this time. I remember walking into the operating room for my hand surgery and being completely freaked out by how much the operating table reminded me of a lethal injection table, with padded arms outstretched like a prone crucifix. But I also remember how I simply slept through the entire procedure.

"Did you fall asleep?" the nurse asked as I started to wake up.

"Is that what you call it?"


June 22, 2009

Deborah told me this post was too long, but whatever. Go read someone else's tweets if you don't like it. This is therapy.

After I arrived in the pre-operative waiting area, and changed into a gray dressing gown with a tiny star pattern, a nurse sat next to me and we played a game of a million and twenty questions, starting with my name, date of birth, and so on, and ending with: "Can you tell me, in your own words, why you're here today." Then she took my temperature, my pulse, my blood pressure, and did a finger stick to test my blood sugar level. For some reason — most likely stress — my blood sugar was significantly elevated.

"Hmm. That might be a problem. We'll see what the doctor says."

The anesthesiologist arrived before the doctor did, and when she heard about my blood sugar levels, she told me the operation would probably have to be postponed. I suggested that I simply needed to take a shot of inulin, but she was worried that if I did so, my blood sugar would drop too low while on the operating table. There was no way for her to monitor my blood sugar during the procedure. "If you take a shot, you'll have to eat, and if you eat, we can't operate. We just want to do what's right for you."

"I can simply take a correction dose," I told her. "Just enough to bring my blood sugar close to normal, without bringing it low enough to cause trouble. Trust me, I do it all the time."

"I'm not worried," said the foot surgeon when he arrived. "You've been diabetic for what now? Almost thirty years. Do what you would normally do, and we'll check in with you in a little while. We can shuffle some people around and take you later. When it all looks good, we'll go for it. Do you have your insulin with you?"

"Yeah, but the nurse took all my stuff. I don't know where she put it."

"I'll find it."

The surgeon left for a few minutes and returned with my test kit and insulin pens. "Here ya go," he said. "Don't worry, we'll get this done."

I did a little calculating to figure out how much insulin I'd need, then lifted my gown and popped the syringe into my belly.

"We'll have to reschedule for another day," I heard the anesthesiologist say to the foot surgeon.

"He'll be fine. Just let him do what he does; he knows better than we do. We can shuffle some things around and take him a little later."

"We can't risk it. If anything happens—this isn't your specialty."

The anesthesiologist saw me out of the corner of her eye. "Did you just take a shot?"

"Yeah," I said. "Don't worry. It'll be fine." Nothing to do after that but wait.

The doctors and assistants went off to operate on other feet or whatever, and left me alone. I was stationed next to a recovering narcotics addict from Southern California. Although we were divided by a curtain, I could hear his life story as he told it to a nurse. He was there to have some plates in his wrist removed. Apparently, he had had some screws and plates put in his wrist the previous year and had returned to get some, but not all, of the hardware removed. "No opiates," he kept saying. "I'm in recovery. No opiates!"

When it was time for the guy to walk to the operating room, a nurse gave him a sheet to drape over his shoulders to cover the parts of him that the gown didn't. "Aw, I'm not bashful," he said, and shook her off.

In the aisle in front of me was a computer terminal where a smartly dressed instructor of some sort, wearing brown suede Gucci loafers, was showing a series of doctors how to use a new software system. The fashionable techie talked to the doctors like children as the doctors struggled through the instructions. "Right-click here. Okay, now see the trash can?—" I began to wonder if these people were competent to slice open a human body. But my surgeon swaggered in like the ballsy cowboy he is and restored my faith.

"What's your blood sugar now?" he asked.

"On target," I said, and I told him the number.

"Okay," he said. "Let's go." He rounded up his assistants, then rallied the anesthesiologist and her assistants, and they headed for the operating room, leaving one nurse behind to wheel me in.

"Did the doctor mark your foot?" asked the nurse.

"What do you mean?"

"It's a regulation. The doctor has to mark the foot he's going to operate on."

"Why? So they don't operate on the wrong one?"

"It's regulation," she said. "Hold on a minute, I have to go get him."

The nurse ran after the doctor, who returned with a Sharpie and wrote a big "YES" on my left foot and then signed his name. "You should sign it after the operation," I said. "Always sign your work."

The doctor chuckled and started to walk away again, but the nurse grabbed him and made him sign a couple of papers. The nurse looked at me and rolled her eyes. The doctor signed with a flourish, and finally, we were off to the races.

I was greeted in the operating room by another nurse. "My name's Nancy. I just have to ask you a couple of questions, and then I'll hand you over to the other nurse. Do you know why you're here?"

"Sure," I said.

"Tell me in your own words what you're having done today."

"I'm getting my appendix out."

She looked stunned for a second, but only a second.

"No, seriously," I said, "I'm here for my foot. I broke my fifth metatarsal, and the doctor is going to put a screw down the middle of it."

I hopped on one foot and got on the operating table. They hooked me up to a heart monitor, an IV, and some other stuff, and the next thing I remember, the surgeon said, "Everything went great, no problems, I'll see you in my office on Monday."

"Can you sit up?" one of the nurses asked. I tried, but there was no way. "Okay, don't push it. Lie down, take your time."

I crab-crawled using two arms and a leg, off the operating table and onto a rolling bed, and was wheeled into the recovery room.

"Whoo, I haven't been this out of it since the good old days," said a guy who was wheeled in right behind me. He looked to be about sixty or sixty-five.

The nurse asked me how I was doing and if I needed any pain meds. "You're allowed two Percosets," she said.

I was still out of it and couldn't feel a thing. "No thanks, I'm trying to wake up. I just want to get out of here."

"I'll take some," said the guy next to me. "I could use something."

"Are you in pain?" the nurse asked.

"My shoulder—" he rubbed his left shoulder with his right hand. "—it's really tight. It's not comfortable."

"You're entitled to two Percocets. Do you want 'em?" she said.

"Well, sure, I mean, I think I'd better."

The nurse gave him the pills, and after that, he stopped talking.

I had to wait for a chair to open up in the room where I'd been when I first arrived — the post-recovery-room, room, I guess. I was finally able to meet Deborah. I was afraid she hadn't been informed of the delay and might've worried.

"No, they told me what was up," she said. "I've just been waiting in the waiting room with a bratty kid and his overindulgent father. I did about a hundred crossword puzzles while the rest of the waiting room fawned over this dopey kid. I just wanted to smack him."

"Sorry it took so long," I said.

"No problem. I'm glad you're okay."

I'd tell you about the rest of the weekend, but this post is already too long and boring. Besides, I can't remember it, anyway.

Previous
Previous

Police Report

Next
Next

Kindling of the Vanities